FDA Approves Juul E-Cigs for Sale, Years After Ban Attempt
By I. Edwards HealthDay Reporter
FRIDAY, July 18, 2025 (HealthDay News) — After years of legal battles and health concerns, Juul Labs has the go-ahead...
2020 to 2024 Saw Drop in Flu Vaccine Uptake Among U.S. Adults
Biggest declines seen in populations usually associated with higher vaccine uptake
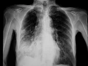
Association Found Between Home Mold, Hypersensitivity Pneumonitis
In a recent study, 54 of 231 hypersensitivity pneumonitis patients had home mold exposure as the culprit antigen
Illness Expectations Tied to Asthma Outcomes
Optimistic expectations in adults with asthma tied to clinical improvements, and negative expectations tied to worsening symptoms over time
CDC Says COVID-19 Cases Rising in 25 States
By I. Edwards HealthDay Reporter
MONDAY, July 14, 2025 (HealthDay News) — COVID-19 cases are on the rise again across the United States, with the...
Arizona Resident Dies From Pneumonic Plague
By I. Edwards HealthDay Reporter
MONDAY, July 14, 2025 (HealthDay News) — An Arizona resident has died from pneumonic plague, a rare but serious illness,...
RFK Jr. Cancels Key U.S. Health Panel Meeting Without Warning, Raising Concerns
By I. Edwards HealthDay Reporter
FRIDAY, July 11, 2025 (HealthDay News) — U.S. Health Secretary Robert F. Kennedy Jr. canceled a meeting of a government...
FDA Publishes Full Texts of Response Letters to Drug Applications
The goal is to improve public understanding of the FDA decision-making process
Obstructive Sleep Apnea Tied to Poor Outcomes in U.S. Soldiers
Negative outcomes include mental health challenges, traumatic injuries, and increased health care utilization
Adolescent Vaping of THC, Cannabidiol, Synthetic Cannabinoids Increasing
Prevalence of delta-9-tetrahydrocannabinol, cannabidiol, and synthetic cannabinoids vaping higher for girls than boys

















